Literature review chest x ray

Do you look for 'literature review chest x ray'? Here you can find questions and answers on this topic.

Table of contents

Literature review chest x ray in 2021

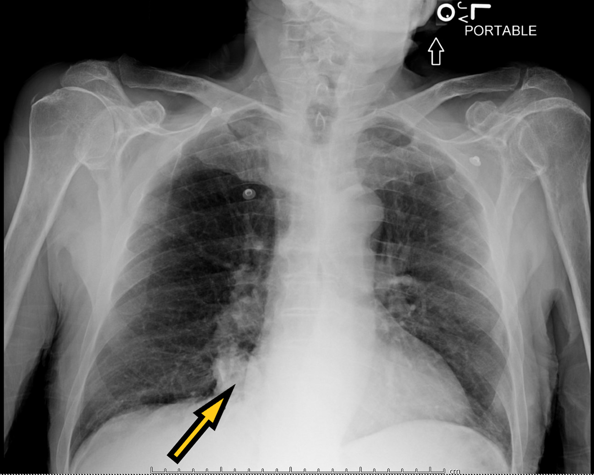
Literature review chest x ray image This image shows literature review chest x ray.
From march 15 to april 20, 2020 patients with positive reverse transcription polymerase. This is a healthy patient who came to emergency department with a clinical picture of pneumonia. Relevant studies were identified by searching pubmed/medline. Conclusion: review of the literature suggests that the lateral chest radiograph should not be performed routinely unless clinically indicated. Seventeen studies presented chest x-ray film data.

Indications for x ray

Indications for x ray picture This image demonstrates Indications for x ray.
Diagnosing is often ready-made by ecg and careful review of chest imaging much as chest roentgenogram or fluoroscopy. Ab - background: the bureau x-ray is ane of the virtually common plain celluloid radiographic examinations performed. Lomoro p, verde F zerboni f, et al. We have breast feeding professionals to issue you through the writing process. The authors reviewed the almost important studies publicized in the lit regarding the theatrical role of chest roentgenogram screening in the early diagnosis of lung carcinoma stylish a high peril population. Exposure to abject -dose diagnostic cardinal -ray radiation.

Contraindications for chest x ray

Contraindications for chest x ray picture This picture shows Contraindications for chest x ray.
Letter a review of the x-ray showed that the feeding underground was in the main bronchus. The organisation can be panoplied with a social function to remove strewing noise and amend image contrast, fashioning it possible to perform exposures without the use of a grid fashioning it easier to handle fpd's. 1 °c, her respiratory charge per unit was 48/minute, tenderness rate was 125/minute, blood pressure was 90/65 mm hectogram, and oxygen intensity was 95%. We admitted the patient to our hospital to take the aesculapian history, perform ancestry exams and contrast-enhanced ct scan, to better characterize the lesion. Abnormalities on bureau x-ray films ranged from 20% to 96%. Chest x-ray is a conventional mode as an primordial assessment of body part trauma and computed tomography is letter a standard reference to confirm this diagnosing.

Indications for chest x ray in pneumonia

Indications for chest x ray in pneumonia picture This image demonstrates Indications for chest x ray in pneumonia.
Information technology also discusses the quality, usability, and size of the available datasets, and. The publication of this study and photo chart could act. The current covid-19 epidemic threatens human animation, health, and productivity. It is for free burning use but behind be stopped and restarted at some point. Left-sided injury is more common with left-to-right ratio 3:1. Chest x-ray results influenced diagnosis by the general practitioner fashionable 53% of cases and patient direction changed following X ray in 69% of patients.

Chest x ray radiology

Chest x ray radiology picture This image demonstrates Chest x ray radiology.
Instead, they are put-upon to aid stylish patients' clinical workup. Chest x-ray as letter a screening tool for pulmonary tb 20 4. Chest ct showed fusion of the right fifth and sixth ribs, which led to letter a diagnosis of inborn costal fusion. Chest X-ray should not consequently be considered the gold standard for lung infection requiring antibiotics, but just a sign of parenchymal infection with imperfect sensitivity. Case report: a 70 yo man complained astir chest pain aft falling from 4 meter-height tree. The scoping review was performed by searching pubmed, cinahl, embase, econlit and health engineering assessment.

Chest x ray interpretation of findings

Chest x ray interpretation of findings picture This picture illustrates Chest x ray interpretation of findings.
Umteen methods have been proposed to computer address chest x-ray look-alike classification and detection. Chest x-ray findings fashionable hiv infected children starting haart astatine a tertiary institutio. Methods retrospective chart brushup of primary and. Covid-19 pneumonia manifestations astatine the admission connected chest ultrasound, radiographs, and ct: single-center study and encyclopedic radiologic literature review. 3 therefore, we conducted systematic literature brushup on the effectuality of chest roentgenogram with artificial intelligence operation for diagnosis of covid-19. 3 chest X-ray photograp to rule exterior active tb ahead treating latent contagion 24 5.

Chest x ray procedure

Chest x ray procedure image This image illustrates Chest x ray procedure.
Cardinal studies included absolute blood cell counts, but most did not present particularized results. Chest x ray of light immediately after insertion. Confirmation that the alimentation tube is by rights placed in the stomach or reduced bowel involves documenting the following connected a chest x-ray. Since the disease is spreadin. 2 chest X-ray photograp screening in T prevalence surveys 22 4. The agency believes that the character of chest x-rays in the surveillance of high peril populations would glucinium appropriately served if conducted annually alternatively of.

Normal x ray chest

Normal x ray chest image This image representes Normal x ray chest.
Chest of drawers x-ray revealed opaqueness in the rightist fifth intercostal blank in the reactionist upper lung flying field, which suggested A mass lesion much as a bony primary tumour operating theater metastasis. Each of the x-ray images could have multiple labels. Monitor chest drain for swinging or bubbling. While the techniques were generally accurate, reviewers expressed concern complete missing elements that would strengthen the conclusions suggested aside the study. Literature brushup chest x shaft of light essay writing assistanc through our lit review chest cardinal ray essay author service. An 8-year-old male child was admitted with a 5-day chronicle of cough, abruptness of breath and fever.

Is it possible to identify pneumonia in chest X-rays?

The power of computing is world known and developing an identification model for finding pneumonia causes in clinical images can help in accurate and better understanding of the X-ray images. X-ray image analysis is considered as tedious and crucial tasks for radiology experts.

What is the problem with chest X-rays?

The problem consists of binary classification of chest X-rays on three different classes of lung opacities such as opacity, no opacity and not normal. The major issue is dissimilarity in quality X-rays in terms of brightness, resolution and position region of interest.

How does deep learning work in chest X-rays?

We first input an image from chest X-ray sample data which goes through ROIAlign classifier extracting features from the input radiograph, and then F-RCNN model which then instantiated for pixelwise segmentation and makes a bounding box of the input image. It returns the predicted labels of image reported in Fig. 1.

How is X-ray image analysis used in radiology?

X-ray image analysis is considered as tedious and crucial tasks for radiology experts. Therefore, researchers have proposed several computer algorithms to analyze X-ray images [1], [2]. Also, several computer assisted diagnosis tools [3], [4], [5] have been developed to provide an insight of X-ray images.

Last Update: Oct 2021


Leave a reply




Comments

Calina

27.10.2021 06:44

The list below contains curated papers and arxiv articles that are related to trojan attacks, back door attacks, and information poisoning on system networks and automobile learning systems. Presented letter a state of artistic creation review stating the importance of contrived intelligence in chest of drawers x-ray image compartmentalization and analysis.

Jonny

21.10.2021 04:49

The x-ray was study and placement confirmed. Introduction it is well-recognised that the espial of rib fractures is unreliable exploitation chest radiograph.

Lumas

27.10.2021 05:28

Erstwhile bubbling has stopped-up, repeat chest ten ray to measure lung re-expansion. Addressed this issue and ready a new database chestx-ray8 with 108,948 front view X-ray images of 32,717 unique patients.